V zraku, ki ga vsakodnevno dihamo, so prisotne milijarde mikroskopskih spor – delcev, ki jih v okolje sproščajo različne vrste gliv. Med njimi je še posebej zaskrbljujoča Aspergillus fumigatus, saprofitska gliva, ki je naravno prisotna v zemlji, kompostu in razpadajočem organskem materialu. Pri ljudeh pa lahko povzroči resne zdravstvene zaplete, zlasti pri posameznikih z oslabljenim imunskim sistemom, ter bolnikih z astmo ali cistično fibrozo.
Po podatkih nove znanstvene študije, o kateri poroča britanski The Independent, naj bi se zaradi podnebnih sprememb – predvsem naraščajočih temperatur – do konca stoletja razširjenost glive Aspergillus fumigatus povečala kar za 77 % v primerjavi z današnjim stanjem. To pomeni, da bo njena prisotnost bistveno večja tudi v regijah, kjer je bila doslej redka ali le občasna, vključno s srednjo in severno Evropo.
Kaj je Aspergillus in zakaj je nevaren?
Aspergillus je rod gliv, katere vrste lahko pri človeku povzročijo resne težave z dihali. Čeprav večina ljudi ob stiku z njenimi sporami ne zboli, pa ta gliva predstavlja resno tveganje za osebe z astmo, cistično fibrozo ali oslabljenim imunskim sistemom.
“Čez 50 let bo popolnoma drugače, kje stvari rastejo in s čim se okužite,” opozarja Norman van Rhijn, raziskovalec z Univerze v Manchestru. “Govorimo o stotisočih življenj in celinskih premikih v razširjenosti vrst.”
Gliva uspeva v različnih okoljih – od komposta do stanovanjskih prostorov – in se širi prek mikroskopskih spor, ki jih vdihavamo vsak dan. Nova znanstvena raziskava opozarja, da bi se vrsta Aspergillus fumigatus zaradi podnebnih sprememb in prekomerne uporabe fosilnih goriv do leta 2100 lahko razširila na dodatnih 77 % ozemlja. To bi lahko okužbi izpostavilo kar devet milijonov ljudi samo v Evropi.
Povečano zdravstveno tveganje tudi za širšo populacijo
Raziskovalci opozarjajo, da bi morali pojav in širjenje glive Aspergillus fumigatus vzeti resno tudi v širši javnosti, ne le med ranljivimi skupinami. Gre za glivo, ki:
- hitro raste v okoljih z višjo temperaturo, zlasti v kompostu, zemlji in razpadajočem organskem materialu,
- uspeva pri 37 °C, kar ustreza notranji temperaturi človeškega telesa, in jo zato zlahka kolonizira,
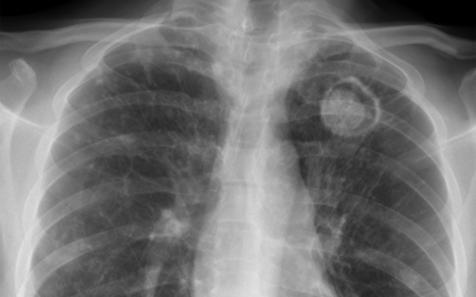
- lahko pri vdihavanju spor povzroči aspergilozo, resno pljučno bolezen, ki se lahko razširi tudi na možgane, srce in druge organe,
- ki naj bi po ocenah strokovnjakov vsako leto prispevale k več milijonom smrti po svetu zaradi okužb z glivami.
Kdo je najbolj izpostavljen okužbi z glivo Aspergillus?
Okužba z glivo Aspergillus fumigatus običajno ne povzroči težav pri zdravih posameznikih, vendar lahko predstavlja resno tveganje za določene skupine ljudi. Najbolj ogroženi so:
- Osebe z astmo, saj imajo kronično prizadeta dihala, ki so bolj dovzetna za okužbo in vnetje;
- Bolniki s cistično fibrozo, pri katerih se v pljučih pogosto zadržujejo sluz in bakterije – okolje, ki je idealno tudi za razvoj gliv;
- Posamezniki z oslabljenim imunskim sistemom, na primer bolniki po presaditvi organov, onkološki bolniki ali tisti, ki prejemajo imunosupresivna zdravila;
- Starejši ljudje, pri katerih se naravna obramba telesa s staranjem zmanjšuje.
Ti posamezniki morajo biti še posebej pozorni pri stikih z okolji, kjer je verjetnost izpostavljenosti večja – npr. pri delu s kompostom, prahom ali plesnivimi površinami.

Kako prepoznati morebitno okužbo?
Aspergiloza se najpogosteje razvije v pljučih in se kaže s simptomi, ki so lahko sprva podobni običajni okužbi dihal. Vključujejo:
- težko dihanje, občutek sape ali stiskanja v prsih,
- vztrajen ali suh kašelj, včasih tudi z izmečkom ali sledmi krvi,
- povišano telesno temperaturo, zlasti če traja več dni brez jasnega vzroka,
- kronično utrujenost in splošno slabše počutje.
Pri hujših oblikah bolezni se gliva lahko razširi tudi izven pljuč, kar lahko povzroči resne zaplete, vključno z okužbo možganov, srca ali ledvic.
Preventivni ukrepi proti Aspergillusu
Za učinkovito zaščito pred okužbo z glivo Aspergillus lahko že danes uvedete več praktičnih ukrepov v svojem domu. Redno prezračevanje vseh prostorov, zlasti kopalnice in kuhinje, kjer se zadržuje vlaga, predstavlja prvo obrambno linijo proti razvoju plesni.
V prostorih, kjer se kljub prezračevanju pojavlja povečana vlažnost, priporočamo uporabo razvlažilnikov zraka, ki pomagajo vzdrževati optimalno raven vlage in tako preprečujejo rast gliv. Pomembno je tudi, da nemudoma ukrepate ob pojavu puščanja vodovodnih cevi ali strehe, saj vlažni materiali hitro postanejo gojišče za glive.
Če opazite plesen na stenah, pohištvu ali drugih površinah, jo takoj odstranite s primernimi čistilnimi sredstvi, pri čemer uporabite zaščitne rokavice in masko. Posebno pozornost preventivi naj namenijo osebe z oslabljenim imunskim sistemom. Svetuje se, da se izogibajo neposrednemu stiku s kompostom ter vrtnarjenju brez ustrezne zaščitne opreme, saj so ti viri pogosto bogati s sporami glive Aspergillus.
Podnebne spremembe in širjenje glivičnih okužb
Raziskava, ki so jo izvedli znanstveniki z univerz v Manchestru in Exetru, kaže, da bo zaradi dviga temperatur gliva Aspergillus dosegla tudi bolj severne države v Evropi, Aziji in Ameriki. Druga vrsta, Aspergillus flavus, ki živi na pridelkih, bi se do leta 2100 lahko razširila na dodatnih 16 % ozemlja na severu Kitajske, v Rusiji, Skandinaviji in na Aljaski. “Obstajajo resne grožnje tega organizma tako za zdravje ljudi kot za prehransko varnost,” opozarja profesor Darius Armstrong-James z Imperial College London.
VIR
- Povzeto po članku Independent o širjenju glive Aspergillus zaradi dviga temperatur, objavljenem 2025.



