Kaj storiti, ko izpadejo zobje

anonimni uporabnik, 15. marec 2019
Ostalo

Katero rešitev izbrati, ko nekaj zob ali vsi zobje izpadejo?

Našo zobozdravniško ambulanto pogosto obiščejo pacienti, ki v eni ali obeh čeljustih nimajo niti enega zoba več. Običajno so stari čez petdeset let in trpijo za eno ali več kroničnimi boleznimi, ki lahko vplivajo na izvedbo načrta zdravljenja. Katero rešitev izbrati, je odvisno od več dejavnikov: splošnega zdravstvenega stanja pacienta, zdravil, ki jih jemlje, količine kosti v čeljusti in finančnih zmožnosti.

Našteli bomo nekaj možnosti, ki so na voljo, in jih na kratko opisali.

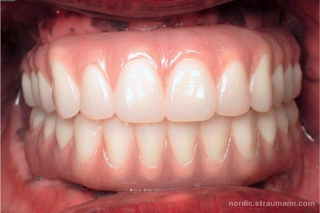
Najpreprostejša in najcenejša rešitev so klasične celotne proteze. Te pacienti sami vstavijo v usta in jemljejo ven, prilegajo se ustni sluznici in se med govorjenjem in jedjo običajno premikajo. Prav njihovo premikanje povzroča številne fizične pa tudi družbene in psihološke težave.

Za proteze z dvema ali štirimi vsadki (lokatorji) se pacienti pogosto odločijo zaradi lahkega nameščanja v ustih, jemanja iz ust in možnosti čiščenja, kadar jih nimajo v ustih.


Popolnoma brezzoba spodnja čeljust



Vstavljena vsadka, ki trdno držita protezo.

Zobni vsadki so v tem primeru idealna rešitev, zlasti za spodnjo čeljust, saj spodnje proteze ljudje običajno nosijo precej težje kot zgornje zaradi veliko manjše površine brezzobega grebena. Vsadki (implantati) služijo kot trdno sidrišče za protezo, zato ne prihaja do neprijetnega premikanja proteze med uporabo. Uspeh tovrstnega zdravljenja je več kot 95-odstoten, zato je ta metoda najvarnejša in najbolj trajna rešitev v zobozdravstvu.

V naši ordinaciji poleg vrste drugih storitev ponujamo tudi nadomestek vseh zob v čeljusti z uporabo štirih vsadkov, nad katerimi izdelamo hibridni mostiček. Ta metoda je zelo primerna pri ljudeh, ki imajo manjšo količino kosti od tiste, ki je potrebna za klasično sanacijo z vsadki in protetiko, in ki ne želijo gibljive zobne proteze. Gre za sistem, zasidran na štirih vsadkih v čeljusti, na katere se še isti – ali najpozneje naslednji – dan s posebno nadgradnjo pritrdi hibridni mostiček.

Najprej dobite lokalno anestezijo, prav takšno, kakršno dobite ob zdravljenju ali puljenju zob. Dva vsadka se vstavita v sprednji del čeljusti, dva pa pod kotom 45 stopinj bližje zadnjemu delu čeljusti, kar dosežemo z uporabo daljših vsadkov. Že čez nekaj ur ali najpozneje naslednjega dne se na vsadke pritrdi začasni hibridni mostiček. Po treh do šestih mesecih se lotimo izdelave končnega, trajnega izdelka, pri čemer smo zelo pozorni na estetiko. Za paciente je ključno, da lahko ves čas od vstavitve vsadkov – pa tudi med izdelavo končne proteze – nosijo začasno protezo, tako da to zdravljenje ne vpliva na njihovo zasebno življenje.

Za paciente z zadostno količino kosti v sprednjem in zadnjem območju čeljusti je najboljša možnost izdelava mostička na šestih ali osmih vsadkih. Po vstavitvi vsadkov je treba počakati vsaj tri mesece, da se zarastejo v čeljustno kost. Sledita jemanje odtisa in izdelava mostička, ki ga nato pritrdimo s cementiranjem ali z vijakom.

ROTIM MEDICINSKI CENTER – z vami že 25 let

Avtor
Piše

anonimni uporabnik

Forum

Naši strokovnjaki odgovarjajo na vaša vprašanja

Poleg svetovanja na forumih, na portalu Med.Over.Net nudimo tudi video posvet s strokovnjaki – ePosvet.

Kategorije
Število tem
Zadnja dejavnost
165,813
23.05.2026 ob 16:47
302,660
23.05.2026 ob 23:23
84,094
23.05.2026 ob 23:30
Preberi več

Več novic

New Report

Close