Pljučni rak pri moških upada, pri ženskah pa narašča

anonimni uporabnik, 06. avgust 2019
Ostalo

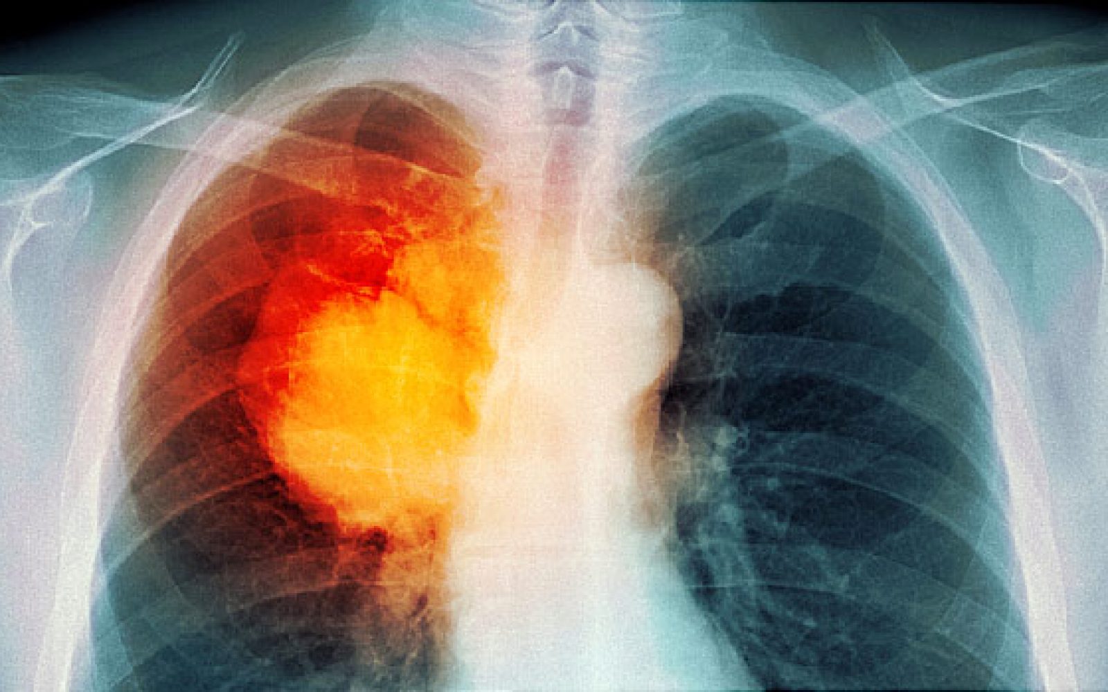
Pljučni rak je vse prej kot redka bolezen, v Sloveniji se namreč vsako leto odkrije tisoč novih bolnikov.

Kdo je najbolj ogrožen?

1. Kadilci cigaret 
Nastanek rakavih celic spodbudi predvsem dolgoletno kajenje cigaret. Če nekdo preneha kaditi, si postopno, po desetih in več letih, sluznica sapnic povsem opomore in se pogostost pljučnega raka zopet zmanjša in približa pogostosti pri ljudeh, ki nikoli v življenju niso kadili. Škoduje tudi pasivno kajenje. Cigaretni dim vsebuje številne strupene snovi, ki so sposobne okvariti celice v sapnicah in pljučih.

2. Ljudje v okolju s škodljivimi snovmi 
Ljudje, ki vdihavajo azbestni prah, so bolj ogroženi, posebno če so kadilci. Škodljiva je tudi izpostavljenost snovem v nafti in plastičnih masah, izpostavljenost kovinam (kromu, niklju, kadmiju, svincu ali beriliju) in radioaktivnemu sevanju. Prebivalci mest imajo nekoliko višje tveganje za nastanek pljučnega raka zaradi onesnaženega zraka.

3. Ljudje, ki pojedo več mesa in živalskih maščob
Pljučni rak je pogostejši pri ljudeh, ki pojedo več mesa in živalskih maščob. Redkeje zbolevajo tisti, ki imajo v hrani več sadja in zelenjave. Posebej zdrava je rumena in rdeča zelenjava. Ta vsebuje vitamine A, C in E, ki zmanjšujejo škodo, ki jo napravijo različne škodljive snovi na celicah sapnic.

4. Moški, starejši od 40 let in tisti, ki so dedno nagnjeni k raku
Pri moških je po štiridesetem letu starosti pljučnega raka več, kar je posledica bolj razširjene razvade kajenja pri moškem delu prebivalstva. V nekaterih družinah je bolezen pogostejša. Vzrok je dedna nagnjenost k nastanku tega raka (Debeljak in Triler, 2019).

Moški zbolevajo manj, ženske več

Podatki Nacionalnega inštituta za javno zdravje navkljub vsemu kažejo, da pljučni rak pri moških od leta 2003 pa do 2017 v Sloveniji strmo pada. V 14 letih se je tako število smrti moških, obolelih za pljučnih rakom, zmanjšalo kar za 20 tisoč.

Presenetljivo se po drugi strani število smrti žensk, obolelih za pljučnim rakom, zvišujejo. Ta trend bi sicer lahko bil rahlo zaskrbljujoč, vendar so številke smrti žensk v primerjavi z moškimi še vedno prepolovljene.

Kateri so simptomi pljučnega raka?

Zgodnji simptomi pljučnega raka so lahko rahel kašelj ali zasoplost, odvisno od tega, kateri del pljuč je prizadet. Ko se rak razvije, lahko ti simptomi postanejo hujši oziroma intenzivnejši. Tako kot mnoge druge vrste raka lahko tudi pljučni rak povzroči sistemske simptome, kot sta izguba apetita ali splošno utrujenost.

Zgodnji znaki pljučnega raka

Večina pljučnih rakov ne povzroča simptomov, dokler bolezen ni napredovala, deloma tudi zato, ker imajo pljuča malo živčnih končičev. Znaki pljučnega raka v zgodnjih fazah se lahko razlikujejo od osebe do osebe, običajno pa vključujejo:

  • Nov kašelj, ki je trdovraten in se sčasoma poslabšuje, ali napredovanje obstoječega kroničnega kašlja
  • Kašelj, pri katerem oseba izkašljuje kri
  • Bolečine v prsih, hrbtu ali ramenih, ki se poslabšajo med kašljanjem, smehom ali globokim dihanjem
  • Zasoplost, ki se pojavi nenadoma med vsakodnevnimi dejavnostmi
  • Nepojasnjeno hujšanje
  • Občutek, da ste utrujeni ali šibki
  • Izguba apetita
  • Okužbe pljuč, kot sta bronhitis ali pljučnica, ki nočeta miniti
  • Hripavost ali piskanje

Manj pogosti simptomi pljučnega raka lahko vključujejo:

  • Oteklina v obrazu ali vratu
  • Težave pri požiranju ali bolečine med požiranjem
  • Spremembe v videzu prstov, ki spominjajo na otekline

Čeprav večina teh simptomov ponavadi ni posledica pljučnega raka, je pomembno, da obiščete zdravnika. Zgodnje odkritje pljučnega raka lahko pomeni več možnosti zdravljenja.

Za več informacij se posvetujte na zdravstveni posvetovalnici Onkologija

Vir: Andrej Debeljak in Nadja Triler. 2019. O pljučnem raku. Društvo pljučnih in alergijskih bolnikov

Avtor
Piše

anonimni uporabnik

Forum

Naši strokovnjaki odgovarjajo na vaša vprašanja

Poleg svetovanja na forumih, na portalu Med.Over.Net nudimo tudi video posvet s strokovnjaki – ePosvet.

Kategorije
Število tem
Zadnja dejavnost
165,636
07.04.2026 ob 14:25
302,431
07.04.2026 ob 14:01
84,074
13.05.2021 ob 11:15
Preberi več

Več novic

New Report

Close