Zdravi in bleščeči beli zobje so ideal, za katerega si vsi prizadevamo, vendar hiter življenjski slog, živila, bogata s sladkorji in nezadostna ali neustrezna ustna higiena, pogosto vodijo do kariesa. Po odstranitvi kariesa je treba izgubljeno zobno tkivo nadomestiti, kar se najpogosteje naredi s polnilom ali zalivka. Kako se odločiti, za črno ali belo zalivko?
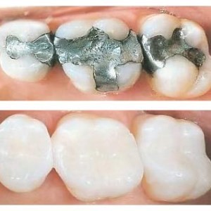
Črne, sive ali amalgamske zalivke so sestavljene iz zlitine približno 50 odstotkov tekočega živega srebra in 50 odstotkov finega prahu, ki ga sestavljajo različne kovine. V preteklosti najbolj uporabljani amalgam se počasi umika, nadomeščajo ga zalivke iz drugih materialov.
Amalgam je sicer odličen material za rekonstrukcijo zobnih kron, vendar pa je njegova uporaba vse bolj sporna. Čeprav se je pri izdelavi zalivk material amalgam uporabljal vrsto let, so se po letih uporabe pokazale njegove slabe lastnosti, kot so več brušenja za izdelavo luknje, neestetski videz, saj je siv, predvsem pa prisotnost in sproščanje živega srebra v telo in okolje. Največ živega srebra se v obliki hlapov sprošča pri vstavitvi in odstranitvi amalgamske zalivke.
Zdajšnji cilj je v celoti odstraniti amalgam iz zobne medicine, zaradi zmanjšanja sproščanja živega srebra v okolje. Zaradi vseh naštetih razlogov so znanstveniki razvili nove materiale, ki imajo poleg boljše kakovosti, predvsem bolj estetski videz – bele ali kompozitne zalivke.

Bela ali kompozitna polnila so sestavljena iz kompozitne smole in ne vsebujejo kovin. Uporabljajo se v primerih, kjer ni potreben velik poseg v zobe in se po navadi opravijo v samo enem obisku zobne ambulante. Estetska polnila se uporabljajo pri sanaciji kariesa, zlomih ali poškodbah zobne krone in estetski korekciji barve in oblike zoba.
Za razliko od črnih zalivk, ki se mehansko vežejo na zobno tkivo, se bele zalivke vežejo kemično in ne zahtevajo obsežnejšega brušenja zob. Ker je estetski videz pomemben, so bele zalivke danes estetsko veliko bolj sprejemljive in dovršene, poleg tega pa lahko v celoti posnemajo barvo naravnega zoba. Današnji materiali za bele zalivke so na voljo v različnih barvah in odtenkih, zato lahko izkušeni zobozdravnik zob s kariesom v popolnosti obnovi.

Današnja sodobna zobna medicina je skoraj popolnoma odpravila uporabo črnih zalivk, zaradi vseh zgoraj navedenih razlogov, bolj estetske (bele) kompozitne zalivke pa predstavljajo odlično rešitev za dosego popolnoma naravnega videza vaših zob.

