10 nasvetov za zdrave zobe

anonimni uporabnik, 22. maj 2018
Ostalo

Poleg rednega ščetkanja, nitkanja zob, zdrave prehrane, je ključno, da izberete tudi pravo zobno kremo.

Skrb za zdrave in lepe zobe traja celo življenje. Tudi, če vam rečejo, da imate lepe zobe, je pomembna vsakodnevna nega ustne votline, da bi preprečili morebitne težave. To pomeni, da veste, kaj je pravilna nega in uporabljate prave izdelke.

1. Pred spanjem vedno umijte zobe

Kljub temu, da so nas od malih nog učili, da je pomembno umivati zobe vsaj dvakrat na dan, nekateri  ljudje zob zvečer ne umijejo. Da, tudi to se dogaja. Zakaj je pomembno, da umijete zobe pred spanjem? Ker s tem odstranite vse obloge in bakterije, ki so se nabrale čez dan.

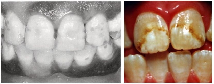
2. Uporabite pravo zobno kremo

Ko gre za zobno kremo, ni pomemben le okus in učinek beljenja zob. Ne glede na izbrano različico je pomembnih še nekaj dejstev. Večina ljudi misli, da mora kupiti zobno kremo s fluoridom, saj naj bi učinkovito preprečeval nastajanje zobne gnilobe, ne zavedajo pa se, da prevelik vnos fluora lahko povzroči zobno fluorozo, ki lahko resno obrabijo, ali celo zlomijo zobno sklenino, poleg tega pa so taki zobje neprivlačnega videza, kar pa je ravno nasprotno, kar želimo doseči.

V primeru zobne fluoroze so zobje zelo odporni proti odpadanju, vendar nimajo najbolj privlačnega videza. Resna zobna fluoroza pusti na zobeh madeže in jih naredi bolj krhke.

Kako izbrati pravo zobno kremo?

Ko stojite pred polico, kjer je zagotovo čez 100 različic zobnih krem, je težko izbrati pravo. Splošno zdravje in zdravje ustne votline sta povezani. Izberite tako zobno kremo, ki vsebuje sestavine, ki so podobne človeški zobni strukturi. MicroRepair® je aktivna sestavina bioaktivnih mikro-delcev, ki se veže na površino zob in tako zapolni/zakrije mikro razpoke in praske. Zobne kreme Biorepair® temeljito očistijo vaše zobe in jih hkrati učinkovito ščitijo pred bakterijami in zobno gnilobo.

3. Pravilno ščetkanje

Način, kako ščetkate zobe, je zelo pomemben. Slabo ščetkanje je skoraj tako, kot da si zob skoraj ne bi umili. Vzemite si čas in umijte vse zobne ploskve, kot so vas učili. Neodstranjene obloge se lahko strdijo in povzročijo nastanek zobnega kamna in posledično gingivitisa (zgodnja zobna bolezen).

4. Ne zanemarjajte jezika

Obloge se naberejo tudi na jeziku, kar ne pomeni le slabega zadaha, temveč tudi druge težave v ustni votlini. Vsakič, ko si umijete zobe, še nežno očistite jezik.

5. Nitkanje zob je ravno tako pomembno kot ščetkanje

Zanimivo je, da veliko ljudi še vedno ne uporablja zobne nitke. »Nitkanje« je veliko več kot pobiranje zalog brokolija in govedine, ki se je zataknila za vaše zobe. Nitkanje pravzaprav stimulira dlesni, zmanjšuje obloge in s tem preprečuje nastanek vnetja dlesni.

Naj vas ne ustavi dejstvo, da je nitkanje nekaj težkega ali bolečega. Z izbiro prave zobne nitke, bo nitkanje preprosto tudi za otroke in starejše.

Če zobe nitkate enkrat dnevno, je to običajno dovolj za ohranjanje zdravja ustne votline.

6. Uporabite tudi ustno vodico

Ustna vodica je koristen pripomoček, ki zmanjša kislino v ustih ter dodatno očisti težko dostopna mesta. Še posebej priporočljiva je pri otrocih in starejši, kjer je kakovost krtačenja zob vprašljiva. 7.

7. Pijte več vode

Voda je še vedno najboljša pijača za vaše splošno zdravje – vključno z zdravjem ustne votline. Strokovnjaki priporočajo pitje vode po vsakem obroku, saj tako sperete nekaj ostankov lepljive in kisle hrane.

8. Uživajte hrustljavo sadje in zelenjavo

Sveža in hrustljava hrana, ki vsebuje več vlaknin, je veliko bolj zdrava za vaše zobe. Tudi otrokom čim prej ponudite sveže hrustljavo sadje in zelenjavo ter tako spodbudite njihove dlesni.

9. Omejite sladka in kisla živila

Sladkor se v ustih pretvori v kislino, ki lahko nato prodre v zobno sklenino in tako nastane karies. Kislo sadje, čaji in kava prav tako škodijo sklenini. Pri uživanju teh živil bodite zmerni.

10. Obiščite svojega zobozdravnika vsaj dvakrat letno

Vsakodnevne navade so ključnega pomena za zdravje vaše ustne votline. Priporočljivo je, da zobozdravnika obiščete dvakrat na leto ter tako spremljate stanje svojih zob.

 

Zakaj je pametno uporabljati zobno kremo BioRepair®?

– za zaščito zob pred kislino, bakterijami, kopičenjem zobnih oblog in kariesom
– za zaščito dlesni
– za popravilo sklenine in zmanjšanje občutljivosti zob

Avtor
Piše

anonimni uporabnik

Forum

Naši strokovnjaki odgovarjajo na vaša vprašanja

Poleg svetovanja na forumih, na portalu Med.Over.Net nudimo tudi video posvet s strokovnjaki – ePosvet.

Kategorije
Število tem
Zadnja dejavnost
165,636
07.04.2026 ob 14:25
302,431
07.04.2026 ob 14:01
84,074
13.05.2021 ob 11:15
Preberi več

Več novic

New Report

Close